
歯周形成外科とは
美しい笑顔には、白くてきれいな歯は勿論のこと、歯肉の形態や色も大切です。たとえセラミックスのきれいな被せものを装着したとしても、歯肉が下がり歯が長く見える、左右の歯肉のラインが非対称である、笑うと歯肉が大きく見える、歯肉の色が悪いといった状況であれば、その効果は半減してしまいます。
歯と歯肉の調和こそが、本当の美しい笑顔・お口(審美歯科)といえます。歯周病の観点からいっても、下がった歯肉や形態不良な歯肉は良くありません。
当院では、歯肉の調整や再建を行うことで、素敵な笑顔がいつまでも維持できるように取り組んでおります。
臨床例 1 結合組織移植
上の前歯の歯肉が下がり、歯がしみるのと見た目が気になるとのことで来院された20代の患者さんです。
治療前
左上の犬歯に約3mmの歯肉退縮を認め、歯根が露出している状態です。そのため、知覚過敏や審美的な障害を引き起こしていました。

結合組織移植
歯肉退縮が認められる部位の歯肉を切開・剥離し、その中に上顎の奥歯の内側から採取した歯肉(結合組織)を移植しました。切開した部分は、細い吸収性糸で縫合しています。移植する結合組織を採取した所の歯肉は2週間程で元通りになり、移植した歯肉は1ヵ月程で周囲の歯肉と調和して自然な状態になります。

治療後
露出した歯根が完全に被覆されることで、知覚過敏は消失し、長くなっていた歯も短くなり、見た目の障害も解消されました。写真は、治療後1年経過した時のものですが、歯肉のレベルは維持されています。

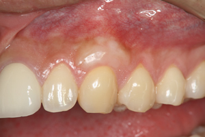
臨床例 2 結合組織移植
被せものを装着した歯の歯肉が下がり、歯と被せものの境目が気になるということで来院された50代の患者さんです。
治療前
被せものが装着されている歯の歯肉が下がり、歯根が露出していました。被せものと歯根の色が大きく異なり、不自然な状態でした。

結合組織移植
歯肉退縮が認められる部位の歯肉を切開し袋状にして、その中に上顎の奥歯の内側から採取した歯肉(結合組織)を移植しました。移植した歯肉が動かないよう、吸収性糸で縫合しています。繊細なテクニックを要しますが、歯肉を剥離しないことで、とても早くきれいに治ります。

治療後
露出した歯根は完全に被覆され、歯と被せものの境目はわからなくなりました。歯肉の厚みも増え、歯肉のレベルも維持しすい状態にすることができました。

臨床例 3 遊離歯肉移植
下の奥歯のインプラント周囲の歯肉に違和感があるとのことで来院された60代の患者さんです。
治療前
インプラント周囲に付着粘膜(角化粘膜)がなく、可動粘膜が接している状態でした。

遊離歯肉移植
上顎の奥歯の内側から歯肉を採取し、インプラント周囲に移植しました。

遊離歯肉移植後 翌日
痛みも腫れもなく経過は良好でした。

治療後
遊離歯肉移植後1ヵ月の状態です。インプラント周囲に付着粘膜(角化粘膜)が獲得され、患者さんの訴えていた歯肉の違和感も消失しました。

消毒用のヨードを塗布すると付着粘膜と可動粘膜の境界がよくわかります。
