
軽度歯周病とその治療法
ブラッシング指導
歯周病の原因はプラーク(歯垢)。すなわち細菌の塊です。
ブラッシングは、歯周病やむし歯の原因であるプラークを除去すること(プラークコントロール)が目的ですが、一般の方は食べカスを取り除くために行うものと思っていることが多いです。
歯周病は、からだが細菌の侵入を防ぐために戦っている状態(=炎症)です。ブラッシングにより歯面に付着した細菌を取り除くことで、炎症を抑え、歯周病の改善を図ります。
日本人の多くが1日2回はブラッシングをしているのにもかかわらず、多くの方が歯周病に罹患しているというのは、磨いていても実際は磨けていないということです。
歯肉や歯の形態、歯並び、お口の大きさなど、お口の中の状況はお一人お一人違います。ご自身にあったブラッシングをマスターすることは、歯周病の治療やその後の予防にとても大切です。
スケーリング・ルートプレーニング
歯周病の治療の鍵を握る重要な処置です。
歯面に付着した歯石やプラークを除去します。歯石は、プラークが石灰化して固くなった軽石のようなもので、歯石の中や表面には細菌が多く住みついています。ブラッシングでは歯石を除去することはできず、患者さんが一生懸命ブラッシングを行っても、歯石が付着していると歯周病はなかなか改善しません。歯に強く付着しているので、歯科医師や歯科衛生士が専用の器具を用いて除去します。
歯周病が進行し、歯周ポケットが深くなっている場合には、ポケット内の歯根面(ルート)を生物学的に許容される清潔で滑沢な面に仕上げる(プレーニング)ことを目的とした、ルートプレーニングという処置も行います。ポケット内の見えない部分に付着した歯石を手探りできれいに取り除くのは、とてもテクニックが要求されます。
スケーリング・ルートプレーニングを確実に行わなければ歯周病は改善しませんので、治療の際に痛みを伴う場合には麻酔をして行いますのでご安心ください。
このように歯周病治療には、患者さんによるセルフケアと歯科医院でのプロフェッショナルケアが不可欠です。
臨床例 1
歯磨きをしたり、舌で歯肉を強く押したりすると出血する。また、歯肉を触ると時々痛みがあるということで来院された20歳代の方です。
プラークや歯石の付着が多く、歯肉が赤く腫れています。歯肉の一部から出血も認められます。このように歯肉に炎症が強く起きておりますが、ブラッシング指導とスケーリングを行うだけで、健康で美しい歯肉を取り戻すことができました。
治療前

治療後

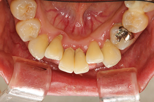
臨床例 2
歯の着色が気になるということで来院された50代の方です。
患者さんは自覚されていませんでしたが、すべての歯に歯石の付着を認め、写真のように前歯の裏側にも歯石が付着しており、歯肉も腫れている状態でした。
歯周病の検査の結果、軽度の歯周病であることをお伝えし、ブラッシング指導とスケーリング・ルートプレーニングを行いました。処置後1ヵ月程で歯肉の炎症も消失し、このようにきれいな歯肉に改善しました。
治療前

治療後
