歯肉の腫れやブラッシング時の出血が気になるということで来院された40代の患者さんです。
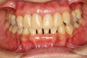
治療前
全体的に歯周病が進行しており、上の前歯はグラグラしている状態でした。病的に歯が移動し、歯と歯の間が空いてしまったり、長さが不揃いになってしまったりしたため、見た目もあまり良くありません。レントゲン写真を見ると、歯根の長さの2/3ぐらいの骨が溶けてしまっています。
治療経過
ブラッシング指導やスケーリング・ルートプレーニングを行った後、歯を安定させ、見た目も併せて改善することを目的に、前歯部には連結した仮歯を装着しました。歯や歯肉の形態が調和することで、きれいな前歯になっています。

最終的に装着するクラウン
歯周病の改善が確認された後に、型取りを行い、連結されたセラミックスクラウンを作製しました。セラミックスはプラークが付着しにくく、プラークコントロールしやすい材質です。

治療後
前歯部にセラミックスクラウンを装着しました。包括的な歯周病治療により、歯肉の炎症は改善し、歯の安定も得ることができました。きれいな歯肉ときれい歯になり、患者さんも大変喜んでおられました。歯周病を治すだけでなく、見た目や中長期的な安定性も考えた治療を提供したいと思います。
カテゴリー:症例

